뇌질환센터
예고없는 뇌질환,
지금은 뇌 검진을 시작할 때!
고혈압·당뇨가 있다면 나이 불문,
지금이 뇌 검진 시기입니다.

침묵하는 혈관의 경고,
골든타임은 '증상이 나타나기 전'입니다.
이제, 예방에만 집중하세요.
뇌검진 프로그램
필요한 검사만 담은
맞춤형 뇌 검진
40대 첫 검진부터 60대 이상 자녀 세대까지, 연령별, 증상별 맞춤 케어로 건강과 마음을 케어드립니다.
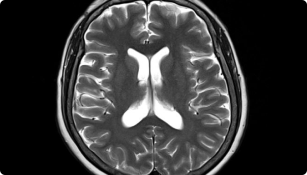
성베드로병원의 MRI 3.0T
MRI(뇌조직)와 MRA(뇌혈관) 촬영 현 최고사양으로 확실하게
성베드로병원의 3.0T MRI는 압도적인 해상도로 뇌 실질의 병변부터 미세 혈관의 흐름까지 한 번에 명확히 찾아냅니다.

MRI
치매, 뇌종양, 뇌경색 등
뇌조직의 정밀 진단

MRA
치매, 뇌종양, 뇌경색 등
뇌조직의 정밀 진단
유튜브 영상
판단이 늦으면 결과가 달라집니다
성베드로병원 뇌질환센터 의료진이 어떤 기준으로 진단하고, 어떻게 치료를 결정하는지 영상으로 확인하세요.
자가 체크리스트
내 뇌혈관은 지금 어떤 상태일까요?
침묵의 살인자 뇌졸중, 나의 뇌혈관 건강을 점검해 보세요!
1
고혈압, 당뇨, 고지혈증 약을 복용 중이다.
2
가끔 이유 없는 어지럼증이나 편두통이 있다.
3
말이 갑자기 어눌해지거나 상대의 말이 이해되지 않는다.
4
가족 중 뇌졸중이나 치매 환자가 있다.
5
뒷목이 자주 뻐근하다.
6
한쪽 팔다리에 힘이 빠지거나 감각이 둔해진다.










