치과센터
성베드로병원의 이름으로
편안한 진료를 약속드립니다.
환자의 아픔을 먼저 살피는
오랜 경험과 진료 철학으로 편안함을 약속합니다.


치과 진료가 걱정되는 당신께
통증이 사라진 자리에 찾아온 행복한 웃음, 성베드로병원이 함께합니다.
주요 진료항목
치료의 시작부터 미소의 완성까지
정확한 수술이 가능한
가이드 임플란트
포괄적 진단
좋은 예후

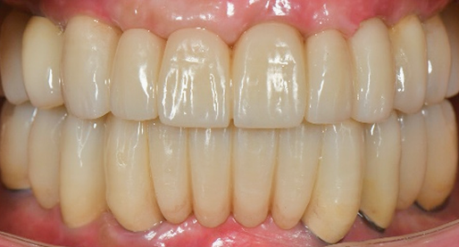
아름다운 미소를 위한
전치부 심미치료
편안한 미소
기능 회복

불편감을 최소화한
흡착틀니
편안한 식사
좋은 유지력

아픈 마취 걱정없는
충치치료
무통 마취기
당일 치료

불편감을 없애는
턱관절치료
불편개선
추가손상 예방

치과센터의 특별함
환자를 위한 진료 원칙
더 나은 진료를 위한
치과센터 장비소개
Before & After










